Aktualności
-
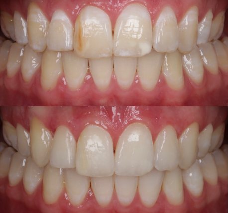
ICON - nowoczesna metoda leczenia próchnicy usuwania białych plam na zębach. Icon infiltracja płynną żywicą to nowoczesna metoda leczenia próchnicy początkowej oraz usuwania nieestetycznych białych plam na zębach. Zabieg ten wykorzystuje specjalną płynną żywicę, która wnika w porowate struktury szkliwa, blokując rozwój próchnicy oraz poprawiając estetykę zębów. Zabieg Icon jest bezinwazyjny, co oznacza, że nie wymaga borowania ani znieczulenia, co czyni go idealnym rozwiązaniem dla osób obawiających się tradycyjnych metod stomatologicznych. Działanie preparatu opiera się na szczegółowej znajomości budowy zęba, co pozwala na precyzyjne wypełnienie porowatych miejsc w szkliwie. Czytaj dalej >
-
Co to jest sedacja wziewna? Jakie są wskazania do jej podania? Sedacja wziewna polega na podaniu pacjentowi mieszanki tlenu i podtlenku azotu (gazu rozweselającego), co powoduje stan głębokiej relaksacji i odprężenia, przy zachowaniu pełnej świadomości. Czytaj dalej >
-
Filia STOMED - Gabinet ul. Rynek 3 Z przyjemnością informujemy, że udostępniliśmy dla Państwa, po przerwie, gabinet stomatologiczny przy ulicy Rynek 3 w Tarnogrodzie. Jest w pełni odnowiony wizualnie i technicznie. Czytaj dalej >

Filia STOMED Gabinet ul. Rynek 3
Z przyjemnością informujemy, że udostępniliśmy dla Państwa, po przerwie, gabinet stomatologiczny przy ulicy Rynek 3 w Tarnogrodzie. Jest w pełni odnowiony wizualnie i technicznie.
Kontakt:
tel. 572 727 380
tel. 84 689 73 04

PUNKT POBRAŃ CM LUXMED W STOMEDZIE
W STOMEDZIE skorzystasz także z usług punktu pobrań laboratoryjnych Centrum Medycznego LUXMED
Punkt Poboru CM Luxmed, tel.: 84 534 15 65
Godziny pracy: poniedziałek – piątek 7:30 – 11:30, sobota 7:30 – 10:00








